Début de l'article![]() <= |
Les défenses de l'agave ;
|
Accueil du site![]() Contact~JM |
Voir aussi les versions →
ECE Les défenses de l'agave v1 (fr)
ECE Les défenses de l'agave v2 (fr)
TP Las defensas de la pita (es)
L'agave américaine est une plante de la classe des liliopsidées (monocotylédones) et de la famille des agavacées (ou des asparagacées selon les sources).
C'est une plante vivace succulente. Elle n'est pas du groupe des cactées mais elle a le même métabolisme photosynthétique (CAM = crassulacean acid metabolism). Originaire des zones arides d'amérique centrale, elle se trouve en Europe comme plante ornementale dans les jardins méditerranéens.
Elle est bien adaptée au climat et elle se propage par de nombeux drageons
. Ainsi l'agave peut être une plante invasive dans certaines zones comme dans les parcs naturels bordant la méditerranée. Ceci entraîne des travaux d'entretien coûteux. Une étude menée aux îles Canaries montre que l'agave américaine pourrait être une plante industrielle source de fibres pour matériaux composites (1).
D'autres espèces du même genre sont exploitées : Agave tequilana (F.A.C Weber., 1902) permet d'obtenir une boisson alcoolisée et on extrait des fibres de Agave sisalana (Perrine, 1838) pour produire des ficelles et des cordes.
Pour ces raisons les interactions entre l'humain et les agaves sont fréquentes.
Or ces plantes présentent des défenses d'au moins 3 types : macroscopique, microscopique et moléculaire.
L'agave porte des piquants qui peuvent être blessants.
Les feuilles sont terminées par un solide piquant de plusieurs centimètres de long (Fig1-a). Ce piquant est formé par le limbe qui ne s'étale pas complètement et dont l'extremité est durcie par des tanins et devient ligneuse (3, sur A. fourcroydes)
La bordure des feuilles porte des piquants souvent incurvés vers la base en forme de crochets (Fig1-b). Ces piquants sont lignifiés tôt au cours du développement de la feuille. Ils laissent donc souvent une marque sur la bordure opposée car les jeunes feuilles successives forment un enroulement serré autour de l'axe de la plante.

▲ Fig1: Piquants sur feuille d'agave américaine (a = piquant terminal, b = piquants latéraux).
Les piquants latéraux (Fig2) sont suffisament durs et pointus pour être blessants.

▲ Fig2: Piquant latéraux sur feuille d'agave américaine (barre = 5 mm).
Sur l'image de gauche on observe des cristaux de glace. Il y a moins de cristaux sur l'empreinte laissée par l'autre bord de la feuille lors de son développement. Cette empreinte a peut être modifié les propriétés de surface de l'épiderme voire le nombre de stomates. Sur l'image de droite les traces blanches sont produites par la feuille.
Les défenses mécaniques macroscopiques de l'agave sont des défenses constitutives car elles préexistent à l'agression.
Étude d'un cas
Le patient, un homme de 37 ans a coupé des agaves américaines (nommées "Pita" en Espagne) en utilisant une tronçonneuse et sans porter de matériel de protection (4). Il présente des vésicules rouges sur les avant-bras et les mollets. Les parties du corps protégées par les vêtements n'en présentent pas. L'alignement des vésicules peut coïncider avec des projections de pulpe d'agave sur la peau (Fig3).

▲ Fig3: Purpura sur le mollet du patient après tronçonnage d'une agave d'après (4).
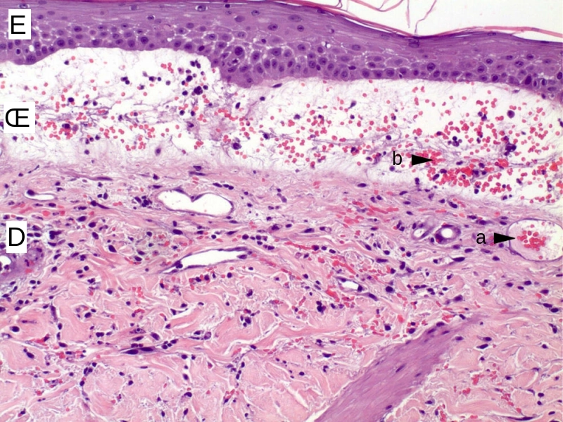
Ces vésicules sont associées à des démangeaisons intenses. Elles correspondent à une réaction inflammatoire aiguë (RIA) localisée sur la peau et ayant une composante hémorragique (globules rouges hors des vaisseaux sanguins) (Fig4). Il s'agit donc d'une dermatite avec une composante purpurique (*).

▲ Fig4: Examen histologique d'une biopsie réalisée sur le patient d'après (4).
(E = épiderme, Œ = œdème, D = derme, flèches a : hématies dans le vaisseau, b : hématies hors des vaisseaux)
La zone qui décolle l'épiderme du derme et dans laquelle on observe quelques hématies est formée par une exfiltration de plasma à partir des vaisseaux sanguins du derme. C'est un œdème.
L'observation du patient suggère qu'il existe dans la pulpe d'agave projetée par la tronçonneuse des petits objets blessants et/ou des substances pouvant entraîner une réaction inflammatoire aiguë.
Les défenses cristallines de l'agave
Pour rechercher ces petits objets nous avons broyé à la pince, sur une lame de microscope des fragments de feuilles d'agave. La pulpe obtenue simule les débris projetés par la tronçonneuse sur le mollet du patient. Les feuilles utilisées étaient de petites dimensions (20 à 50 cm) par rapport aux feuilles d'une agave nécessitant l'usage d'une tronçonneuse (> 1 m). Les observations ont été réalisées avec un microscope polarisant après élimination des plus gros fragments de pulpe.
Dans l'échelle du vivant un tissu est un ensemble de cellules différenciées de la même manière et remplissant une même fonction. Le tissu médullaire de la feuille d'agave est un paremchyme de réserve hydrique. Mais de rares cellules, des idioblastes (**), présentent de grosses inclusions transparentes en LPNA et très réfringentes en LPA (Fig5). Ce sont donc des inclusions minérales à structure cristalline.

▲ Fig5: Idioblaste à inclusion minérale dans le tissu médullaire de feuille d'Agave.
LPNA = Lumiere Polarisée Non Analysée, LPA = Lumière Polarisée Analysée, obj. X10
Dans la pulpe s'observent aussi 2 autres types de structures minérales :
- des structures allongées à extremités presque rectangulaires
- des structures fines en aiguilles pointues à leurs deux extremités et souvent regroupées en faisceau. Ce sont des raphides (Fig6).

▲ Fig6: Structures minérales dans la pulpe de feuille d'agave américaine
(barre = 200 µm, lame sèche, microscope polarisant, obj x10, LPNA).
On connait différents types d'inclusions minérales dans les tissus végétaux. Ce sont principalement :
- des inclusions de carbonate de calcium (CaCO3)
- des inclusions d'oxalate de calcium (CaC2O4)
Le carbonate de calcium produit une effervescence en présence d'acide dilué.
Or dans nos préparations l'acide chlorhydrique dilué ne produit pas de réaction.
Les inclusions observées sont donc des inclusions d'oxalate de calcium.
Le comportement en lumière polarisée analysée (couleur et extinction) s'explique par la structure cristalline des inclusions et leur composition chimique (Fig7).
Les structures rectangulaires sont de grands cristaux (320 ± 55 µm, p < 5%) d'oxalate de calcium (Fig8). Le plus grand de ces cristaux, observé sur A. americana var. variegata, mesurait 410 µm.
Ces cristaux peuvent être brisés et l'extrémité forme alors un biseau.

▲ Fig8: Cristal biseauté d'oxalate de calcium du paremchyme de feuille d'agave américaine
(Longueur 250 µm approx., microscope polarisant, obj x10, LPA).
Les raphides ont approximativement la même longueur (288 ± 23 µm, p < 5%). Elles se trouvent isolées en grand nombre dans la préparation mais on observe aussi des faisceaux de raphides (Fig9).

▲ Fig9: Raphide et faisceau de raphides d'oxalate de calcium du paremchyme de feuille d'agave américaine
(Longueur de la raphide isolée = 220 µm, microscope polarisant, obj x10).
Ces faisceaux de raphides sont initialement le contenu d'un idioblaste. Lors du broyat par la tronçonneuse, les faisceaux de raphides peuvent être extraits de la cellule (Fig10) et projetés violemment sur la peau du patient.
Les parois de l'idioblaste sont visibles à gauche de l'image.

▲ Fig10: Faisceau de raphides d'oxalate de calcium du paremchyme de feuille d'agave américaine
(microscope polarisant, obj x40, LPA).
La pulpe d'agave contient donc de nombreux cristaux pointus et longs de 250 à 300 µm. Or au niveau du mollet, l'épaisseur de l'épiderme est de l'ordre de 100 à 120 µm (5 et 6). Ainsi ces cristaux peuvent perforer l'épiderme et atteindre le derme. Ils provoquent des micro-lésions et donc un début de réaction inflammatoire localisée.
Les défenses mécaniques microscopiques cristallines de l'agave sont des défenses constitutives car elles préexistent à l'agression.
Le patient évoqué plus haut a été fiévreux au cours des 8 heures ayant suivi le contact avec les projections de pulpe d'agave (4)
Il est possible de résumer les symptômes par:
- état fièvreux
- augmentation de la perméabilité des parois vasculaires
- œdème lié à un efflux de plasma hors des vaisseaux sanguins
- sortie des hématies des vaisseaux sanguins vers les tissus
Ces symptômes sont typiques d'une réaction inflammatoire aiguë (RIA) avec un aspect purpurique pour le dernier point.
Nous savons que la RIA est une composante de l'immunité innée (cours de 1ère SVT) et qu'elle fait intervenir des médiateurs chimiques dont le TNFα et des interleukines.
Ces médiateurs sont pro-inflammatoires et provoquent un efflux de plasma hors des vaisseaux sanguins.
Ils entraînent aussi le recrutement de monocytes circulants qui se différencient en macrophages tissulaires.
Or les blessures occasionnées par les raphides introduisent de l'oxalate de calcium (CaOx) sous l'épiderme.
Cette molécule oriente la différenciation des monocytes en macrophages pro-inflammatoires (Fig11).
Les auteurs ont montré, sur des monocytes mis en présence de CaOx, une augmentation de la synthèse des ARNm codant pour des enzymes de la voie de synthèse des médiateurs de l'inflammation.

▲ Fig11: Effet de l'oxalate de calcium sur la production de médiateurs chimiques de l'inflammation
d'après les données publiées par (2).
Ainsi la réaction inflammatoire initiale déclenchée par les micro-blessures est amplifiée par la réaction à la composition chimique des raphides agresseurs.
Bilan:
Les plantes, organismes fixés présentent un large éventail de défenses vis à vis d'agressions très diverses (cours de Tale ancien programme).
Chez l'agave américaine les défenses macroscopiques peuvent blesser et dissuadent les herbivores.
De plus le paremchyme présente d'abondants cristaux en forme d'aiguille et pointus à leurs 2 extrémités. Leur présence peut être interprétée comme un mécanisme de défense constitutif.
En effet, par leur forme et leur longueur (≈ 300 µm) ils peuvent perforer la couche cornée et l'épiderme et ainsi être introduits dans le derme.
La composition chimique des raphides (oxalate de calcium) augmente le nombre de macrophages sécréteurs de médiateurs de l'inflammation (TNFα et IL1-β). Ces médiateurs sont responsables des symptômes de RIA observés chez le patient.
L'action inflammatoire des raphides peut être illustrée par le schéma ci-dessous (Fig12).
.

▲ Fig12: Effet de l'oxalate de calcium (CaOx) sur la différenciation des monocytes
d'après les conclusions de (2).
Dans d'autres espèces comme le kiwi (Actinidia chinensis) ou l'ananas (Ananas comosus) les raphides sont associés à la présence d'une enzyme protéolytique (***). Par bio-essai sur un insecte herbivore, il a été montré une synergie entre les effets des raphides et ceux de l'enzyme (7). Cette action complémentaire conduit à une plus grande mortalité des herbivores.
Il pourrait être intéressant de rechercher une enzyme protéolytique dans la pulpe de feuille d'agave car cette enzyme pourrait être responsable de l'atteinte vasculaire.
Remarques:
▲ (*) Un purpura est une hémorragie circonscrite apparaissant au niveau du derme liée à une sortie des globules rouges hors des vaisseaux sanguins.
▲ (**) Un idioblaste est une cellule différent notablement des cellules du tissu qui la contient que ce soit par sa forme ou bien par son contenu.
▲ (***) Une enzyme protéolytique ou protéase catalyse la réaction d'hydrolyse de la laison peptidique qui relie les acides aminés d'une protéine. Les produits de la réaction peuvent être de plus petits peptides et des acides aminés.
Références: